Las enfermedades bucales afectan a casi 3.700 millones de personas en todo el mundo, revelan datos recientes de la Organización Mundial de la Salud. Entre ellas, ocupan un lugar especial los trastornos relacionados con la mordida que, en el peor de los casos, pueden causar graves trastornos funcionales no solo en la boca, sino en todo el cuerpo.
Los dientes son como piezas de un rompecabezas que deben encajar de cierta forma entre sí, como si formasen una cremallera. Grosso modo, no debe haber piezas dentales apiñadas o excesivamente separadas, y los dientes superiores deben superponerse ligeramente por delante de los inferiores, mientras que los laterales estar en estrecho contacto. Esto garantiza una masticación efectiva y eficiente.
En caso contrario, cuando los dientes y la mandíbula no encajan correctamente al morder —en lo que se conoce como desalineación dental o maloclusión— las consecuencias no son solo estéticas como la mayoría de las personas cree. Desafortunadamente, muchos no ven la necesidad de corregir esta situación o acuden tarde, sin saber que sus efectos pueden extenderse.
Mala mordida: malas noticias
En una etapa avanzada, la maloclusión puede provocar dolor en la zona de los músculos masticatorios (responsables de los movimientos de la mandíbula) y disfunción de la articulación temporomandibular (ATM), principal conexión entre el cráneo y la mandíbula que asegura su apertura y cierre. Por tanto, puede provocar problemas para masticar o dolores de cabeza, explica Vladislav Nikitin, profesor de la Universidad Politécnica Nacional de Investigación de Perm (Rusia).

Sin embargo, eso no es todo. Existe una intrincada conexión entre el cráneo, la mandíbula, la columna vertebral e incluso la pelvis; es así como un desequilibrio en un eslabón desencadena inevitablemente una reacción en cadena de cambios en los demás. Basta con una pequeña anomalía en la mordida para provocar estragos en todo el organismo, advierte Nikitin, experto en mecánica y biomecánica.
En aprietos de la cabeza a los pies
De este modo, unos dientes desalineados desencadenan un mecanismo compensatorio con consecuencias de gran alcance. Todo el sistema musculoesquelético se resiente desde la cabeza hasta prácticamente los pies. Se genera una tensión en los músculos del cuello y la cintura escapular que, a su vez, afecta la postura y pueden provocar curvaturas anormales en la columna vertebral, dolor crónico de espalda, migrañas y mareos. Según Nikitin, el desequilibrio no se detiene ahí: se produce una inclinación pélvica que provoca cambios en la posición de las rodillas y los pies.
"Estos efectos pueden provocar cambios esqueléticos como rotaciones vertebrales, pérdida de la curvatura del cuello, postura adelantada de la cabeza, pelvis inclinada e incluso rigidez en los músculos de la pantorrilla", añade al respecto la odontóloga estadounidense Randi Green.

En tanto, la maloclusión compromete la masticación adecuada de los alimentos, debido a la presión desigual sobre los dientes y las mandíbulas, y puede afectar también la digestión. Un bolo alimenticio ineficiente obliga al estómago a realizar un proceso de degradación más extenuante, lo que puede ser motivo de indigestión, acidez y pesadez. Esto puede contribuir al desarrollo de gastritis y otras enfermedades gastrointestinales.
"La masticación ineficaz puede afectar la liberación de enzimas digestivas en la boca, lo que podría aumentar el tiempo de digestión posterior y comprometer la absorción de nutrientes en el estómago e intestinos", señala un estudio de 2024 sobre la asociación entre la maloclusión dental y los trastornos gastrointestinales. También se ha asociado con problemas del habla, apnea obstructiva del sueño, mayor riesgo de caries y mayor riesgo de traumatismo dental, entre otros.
'Enderezar' el problema
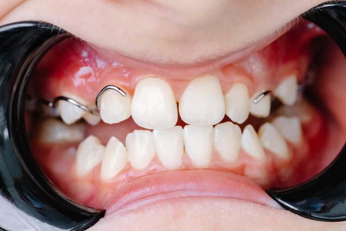
La ortodoncia es uno de los tratamientos más comunes en caso de una mordida imperfecta. Hoy en día, las opciones, tanto en materiales como en métodos, son más diversas que en el pasado y dependen del tipo y gravedad de la maloclusión, así como de otros factores individuales. Los apliques dentales o 'brackets', así como los alineadores, son una solución de eficacia comprobada. Ambos ejercen una presión gradual sobre los dientes, moviéndolos hacia una posición adecuada.
Estas opciones no son las únicas y se centran principalmente en la alineación dental, no en la posición de la mandíbula. En ese caso, podría requerirse de procedimientos quirúrgicos que impliquen la reposición quirúrgica de la mandíbula. "También pueden realizarse procedimientos periodontales o restaurativos para corregir problemas de encías o dientes que estén afectando la mordida", indica la clínica dental española Cristina Viyuela.
Incluso unos dientes perfectamente alineados después de un tratamiento de ortodoncia no garantizan una mordida estable de por vida. Debido a la memoria de los ligamentos, estos pueden 'tirar' del diente a su posición anterior. Además, si no se corrige, por ejemplo, el hábito de respirar por la boca o la deglución incorrecta, los músculos de la lengua, los labios y las mejillas seguirán ejerciendo la misma presión sobre los dientes y los desplazarán de nuevo, subraya Nikitin. Por eso, es crucial el uso de retenedores tras retirar los 'brackets' o alineadores, en algunos casos "de por vida". El éxito del tratamiento de ortodoncia radica en un enfoque integral para eliminar todas las causas de la patología, concluye.

Si te ha gustado, ¡compártelo con tus amigos!








